Keywords
athlete, imaging, multimodality, sudden cardiac death.
Abbreviation list
CCT: cardiac computed tomography
CMR: cardiac magnetic resonance
SCD: sudden cardiac death
TTE: transthoracic echocardiogram
Take-home messages
- Cardiomyopathies are the leading cause of sudden cardiac death (SCD) in young athletes. Multimodality imaging can play a pivotal role in preventing SCD by establishing the differential diagnosis between the athlete’s heart and the early stages of cardiomyopathy; the risk can then be stratified and patients with cardiomyopathy who exercise on a regular basis can be monitored.
- Coronary artery disease (CAD) is the main underlying cause of SCD in master athletes. Maximal exercise test, associated with functional imaging techniques (exercise echocardiogram [ESE] or SPECT) is the most used and widely available functional test to rule out inducible ischaemia. Cardiac computed tomography has a high negative predictive value and provides an accurate characterisation of atheromatous plaque which in turn, enables risk stratification and the planning of a potential treatment.
- Aortopathies - Aortic dissection or rupture is rare but a recognised cause of SCD in athletes. Multimodality imaging is essential for the diagnosis of aortic dilation, and, when present, for monitoring aortic diameters. Echocardiogram is the first line technique. Magnetic resonance imaging complements the echocardiogram as it allows a study of the entire aorta without radiation.
Introduction
Exercise training (ET) is one of the most effective strategies to reduce cardiovascular risk. Vigorous ET, however, can act as a trigger of sudden cardiac death (SCD) in individuals with an underlying cardiac disease. A preparticipation cardiovascular evaluation (PPCE) is an efficient tool for identifying athletes at risk. A PPCE begins with a complete medical history, a detailed physical examination and a resting 12-lead electrocardiogram. When this evaluation reveals positive results, multimodality imaging plays a pivotal role in confirming the diagnosis or excluding pathology. In most clinical settings, transthoracic echocardiograms (TTE) are considered first-line imaging, followed by either cardiac magnetic resonance imaging (CMR) or cardiac computed tomography (CCT), based on the suspected diagnosis. Furthermore, imaging plays a major role in risk stratification and in monitoring athletes with cardiac diseases. This document aims to provide a practical guide for the application of multimodality imaging to prevent SCD in sports.
Figure 1. Clinical algorithm for the application of multimodality imaging in competitive athletes following a preparticipation cardiovascular screening.

* or exercise cardiac magnetic resonance if available.
CCT: cardiac computed tomography; CMR: cardiac magnetic resonance; MRA: magnetic resonance angiography; SPECT: single photon emission computed tomography; STE: speckle tracking evaluation; TDI: tissue Doppler imaging; TTE: transthoracic echocardiography
Cardiomyopathy
Cardiomyopathies are the leading cause of SCD in young athletes. Long-lasting ET promotes electrical, structural and functional adaptations of the heart that, in their most marked expression, can overlap with mild phenotypes of cardiomyopathies. Multimodality imaging plays a key role in this clinical conundrum as well as in risk stratification and monitoring patients with a cardiomyopathy who exercise on a regular basis. For adult athletes, an annual evaluation, usually alternating CMR and TTE, is recommended [1]. In adolescents and young individuals and in patients with high-risk genetic variants, this evaluation should be performed every six months [1].
The hypertrophic left ventricle
ET can promote an increase of the left ventricular wall thickness (LVWT). However, athletes rarely exceed the upper limit of normality established for the general population. Age, race, sex and sport discipline influence LVWT. Adult Black men who practice sports that combine volume and pressure overload (e.g., canoeing) exhibit the greatest LVWT values [2,3]. An LVWT ranging between 13-16 mm is considered to be the grey zone of overlap between physiological adaptations and the mild hypertrophic cardiomyopathy (HCM) phenotype. Echocardiography can establish the differential diagnosis of both entities with high sensitivity. Generally, when left ventricular hypertrophy (LVH) is the result of long-lasting ET, it should be accompanied by a concomitant LV dilatation, while athletes with HCM show a non-dilated LV in the vast majority of cases. In addition, physiological LVH usually shows homogeneous distribution while LVH in HCM patients is typically asymmetric [4]. An abnormal diastolic function constitutes a red flag for pathological LVH; however, in early phases of HCM expression, the E/A ratio can be normal [4]. In these cases, the evaluation of e’ velocity by tissue Doppler imaging has been demonstrated to be a better tool for identifying a subclinical impairment of LV diastolic function [5]. Finally, global LV systolic function is typically preserved in mild HCM. However, using speckle tracking echocardiography (STE) to evaluate the LV systolic function enables early identification of mechanical dispersion and an impaired LV contractile reserve, both being early signs of pathological LVH [5]. When an HCM diagnosis is confirmed, echocardiography is essential for risk stratification since it facilitates the assessment of the LV outflow tract gradient (both at rest and during exercise), the LVWT and the left atrial (LA) diameter [1].
CMR is the gold standard imaging technique for cardiac morphology and its functional evaluation, and it can also help to identify features that are suggestive of an early stage HCM, such as myocardial crypts, elongation of the anterior mitral valve leaflet or apically displaced papillary muscles [6]. Additionally, late gadolinium enhancement (LGE) sequences allow tissue characterisation. The presence of LGE would suggest pathological HCM; however, it may be absent in the early stages of HCM. When LGE is present, a patchy, intramyocardial pattern is the most common which corresponds with macroscopical fibrosis. The higher the percentage of fibrosis, the worse the prognosis given, the greater the risk of developing arrhythmic events. According to the latest 2023 ESC Guidelines for the management of cardiomyopathies [7], extensive LGE (>15%) favours the implantation of a prophylactic implantable cardioverter-defibrillator after shared decision-making. Furthermore, CMR can assess other features associated with high risk such as: high values of extracellular volume (assessed by T1-mapping sequences), a reduced LV ejection fraction (<50%) and the presence of an apical pseudoaneurysm [6].
The dilated left ventricle
A mild/moderate dilatation of the left ventricle (LV) is commonly observed in athletes whose activities expose them to higher volumes of aerobic ET, such as endurance athletes [2]. This physiological LV dilatation should coexist with a proportional right ventricular (RV) and biatrial dilatation. In athletes, LV diastolic function is normal or supranormal and no wall motion abnormalities should be present [8]. However, in highly-trained athletes with a pronounced LV dilatation, global LV systolic function can be slightly reduced [8,9]. In such cases, exercise imaging techniques are indicated for the assessment of LV systolic function during exercise; with an impaired LV contractile reserve favouring a pathological over a physiological LV dilatation [8].
Regarding CMR, LGE sequences do not specifically help to establish the differential diagnosis between physiological LV remodelling and mild DCM since neither are expected to present extensive LGE. When pathological LGE is present, its pattern is essential for determining DCM aetiology. A subendocardial or transmural LGE pattern following a coronary vascular territory is associated with ischaemic heart disease, while a subepicardial LGE pattern without oedema is suggestive of previous myocarditis. Additionally, a mesocardiac LGE pattern in the basal interventricular septum is not associated with a specific aetiology, but it has been linked to poor prognosis [10]. These LGE pathological patterns should be differentiated from the LGE patterns documented in healthy individuals and from those found more frequently in highly-trained athletes, which are characterised by a small focus of LGE in the inferior intraventricular insertion; this has not been associated with worse cardiac remodelling nor with a worse prognosis [11].
Finally, LGE assessment has a pivotal role in risk stratification. LGE represents myocardial fibrosis, which, in turn, constitutes an arrhythmogenic substrate; as such, its presence and extension confers a higher risk while its absence is considered a predictor of good prognosis, regardless of LV ejection fraction [7].
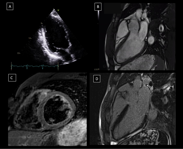
Figure 2. Representative multimodality imaging of a 30-year-old elite endurance athlete who complained of dizziness while exercising. A) The apical 2-chamber TTE view showed inferolateral dyskinesia (Video 2.1). B) 3-chamber view SSFP cine sequences, that confirmed severe inferolateral midventricular and apical hypokinesia (Video 2.2). C) Short-axis STIR sequence that did not show oedema in the inferolateral segment and D) 3-chamber view LGE sequence with a large subepicardial inferolateral enhancement. All these features are consistent with an old scar due to a previous myocarditis.

LGE: late gadolinium enhancement; SSFP: steady state free-precession; STIR: short Tau inversion recovery; TTE: transthoracic echocardiography
Marked exercise-induced RV remodelling versus arrhythmogenic cardiomyopathy
High-intensity ET is known to accelerate the expression of arrhythmogenic right ventricular cardiomyopathy (ARVC) and worsen its prognosis. As such, an early differentiation between these two entities – RV remodelling versus ARVC – becomes even more essential. The more marked exercise-induced RV remodelling occurs in endurance athletes in which a mild/moderate RV dilatation is commonly observed [12]. A physiological RV dilatation is typically global, with proportional increases in RV inflow and outflow tracts (RVOT) and coexists with a proportional dilation of the LV [12]. On the contrary, ARVC patients typically exhibit a disproportional dilation of the RVOT over the inflow and of the RV over the LV. RV global systolic function assessed by the fractional area change is usually normal in athletes, however, in highly-trained athletes a slight reduction can be present [13]. Exercise imaging techniques are of much of help in these cases. During exercise, healthy athletes are expected to effectively increase overall RV function while a blunted or insufficient increase of RV function should raise suspicion of an underlying cardiomyopathy [13]. Due to the complex RV geometry, the evaluation of wall motion abnormalities by conventional echocardiography is of relatively low sensitivity and specificity. The use of STE improves the accuracy of this evaluation. Indeed, the identification of mechanical dispersion of RV contraction has been proposed as an early sign of ARVC and as an early predictor of future arrhythmic events [14].
CMR is again the gold standard imaging technique for cardiac morphology and for the functional evaluation and it provides an accurate evaluation of the complex RV geometry. For the evaluation of RV size, the CMR reference RV volume values in the specific athlete’s population should be used [12,15]. As stated earlier, the exercise-induced RV dilatation is proportional to the LV dilatation; in this context, an RV/LV volume ratio >1.2, assessed by CMR, should raise suspicion of an underlying cardiomyopathy. Within the new ARVC diagnostic criteria, CMR plays an important role as it provides an accurate, functional assessment facilitating the identification of akinetic or dyskinetic regions, as well as tissue characterisation for identifying the presence of fibro-fatty tissue and LGE in the myocardium [15].
Figure 3. Representative multimodality imaging of a 25-year-old female amateur runner who was found to have an abnormal ECG during preparticipation screening and after being diagnosed with gen-positive ARVC. (A) The apical 4-chamber TTE view focused on the RV shows an isolated dilation of the RV apex (Figure 3A) and dyskinesia of this segment (Video 3.1). this suggests the presence of an RV apical aneurysm. (B) The speckle tracking analysis of the RV free wall shows preserved longitudinal strain at the basal and medium RV segments while a markedly reduced deformation at the apex. In addition, the apical segment exhibits a post-systolic shortening, confirming another pathological sign of ARVC, mechanical dispersion. The short axis SSFP cine sequences showed dilated RV with small aneurysms in the lateral segments and lateroapical hypokinesia (Video 3.2) C) Short-axis LGE sequence with basal inferolateral subepicardial enhancement. D) 4-chamber T1-weighted sequence showing fatty infiltration at the inferolateral basal and lateral midventricular segments.

ARVC: arrhythmogenic right ventricular cardiomyopathy; ECG: electrocardiogram; LGE: late gadolinium enhancement; RV: right ventricle; SSFP: steady-state free precession; TTE: transthoracic echocardiography
Table 1. The role of the multimodality imaging in the diagnosis and risk stratification of cardiomyopathies.
| HCM | DCM | ARVC | |
| TTE | Asymmetric LVH Abnormal diastolic function (reduced e’velocity, early impairment) Mechanical dispersion LV contraction Impaired LV contractile reserve |
Unbalanced LV dilatation LV systolic or diastolic dysfunction Impaired LV contractile reserve |
Disproportional dilation of RVOT over the inflow Unbalanced RV dilation Mechanical dispersion RV contraction |
| CMR | Myocardial crypts, elongation of mitral leaflets or apically displaced papillary muscles LGE – patchy, intramyocardial pattern High extracellular volume Reduced LVEF (<50%) Apical pseudoaneurysm |
LGE pattern Insertion point (athlete’s heart) Subendocardial transmural (ischemia) Subepicardial (myocarditis) Mesocardial at basal septum (poor prognosis) |
Akinetic or dyskinetic areas, and global dysfunction Presence of fibrofatty tissue and/or Presence of LGE |
ARVC: arrhythmogenic right ventricular cardiomyopathy; CMR: cardiac magnetic resonance; DCM: dilated cardiomyopathy; HCM: hypertrophic cardiomyopathy; LGE: late gadolinium enhancement; LV: left ventricle; LVEF: left ventricular ejection fraction; LVH: left ventricular hypertrophy; RV: right ventricle; RVOT: right ventricle outflow tract; TTE: transthoracic echocardiography
Coronary artery disease
Coronary artery disease (CAD) is the main underlying cause of SCD in professional athletes. In asymptomatic athletes with high cardiovascular risk, CAD should be ruled out. Maximal exercise testing should be in the first evaluation. When its results are equivocal, functional imaging techniques are indicated (exercise echocardiogram [ESE] or SPECT) [16]. If the latter are borderline or uninterpretable and the athlete is symptomatic or has positive CAD history, other structural or functional imaging techniques are recommended (cardiac computed tomography [CCT] or magnetic resonance [MR] angiography) [16].
In our experience, ESE is a first-line diagnostic test, widely available, low-cost, non-invasive, with no radiation involved. It evaluates ischaemia based on the global and segmental contractile reserve combined with haemodynamic, clinical and electrocardiographic parameters [17]. Its main limitations are the operator's experience and the acoustic window quality. Depending on availability and local experience, other alternatives to ESE would be SPECT or nuclear perfusion techniques (preferably with exercise rather than pharmacological stress) [16,17].
Modern CCT with multiple detectors and gated-ECG allow us to obtain an accurate definition of the coronary anatomy in a few seconds with a very low dose of radiation, especially in athletes who often have low heart rates [17,18]. CCT has a high negative predictive value. When a significant atheromatous plaque is identified, CCT enables its characterisation, thereby evaluating the associated risk and facilitating a potential treatment plan [18]. Additionally, aortic, pericardial diseases and coronary anatomical variants such as a coronary bridge can be ruled out during the same procedure.
Stress CMR is another recognised technique for detecting inducible myocardial ischaemia, and, with the use of coronary perfusion protocols (either with vasodilator drugs or with exercise), to assess ischaemic extension [19]. Moreover, CMR is able to characterise myocardial tissue, identifying an ischaemic myocardial scar and its extension. CMR, in addition to its diagnostic role, plays a major role in risk stratification and exercise prescription in athletes with known CAD [2].
Congenital coronary artery anomalies
Congenital coronary artery anomalies (CCAA) have an incidence ranging from 0.17% to 1.2%. They may be associated with myocardial ischaemia and are a recognised cause of SCD in young (<35 years old) athletes. Most of these anomalies are asymptomatic, and may be suspected on an abnormal exercise test or ETT [1]. The most common presentation is a CCAA of the right coronary artery from the left sinus of Valsalva [20].
Generally, in this population, the ETT acoustic window is adequate and allows visualisation of the origin and the first segments of the course of the coronary arteries. When CCAA is suspected, based on availability and expertise, CCT or MRI are the next tests to perform [29]. These non-invasive techniques can confirm the diagnosis and allow CCAA characterisation, identifying high-risk features such as when the CCAA courses between the great arteries or has an intramural involvement. Furthermore, their evaluation its essential for planning a potential therapeutic strategy [21].
Figure 4. CCT of a 40-year-old male rugby player who suffered a syncope while exercising. The first ECG documented a transient third-degree atrioventricular block and the echocardiogram identified a possible anomalous coronary origin. A) CCT axial view with a maximum intensity projection, and B) CCT volumetric reconstruction. Both images confirmed an anomalous origin of the right coronary artery from the left sinus of Valsalva, with an acute angle origin, small intramural segment and interarterial course (high risk phenotype).

CCT: cardiac computed tomography; ECG: electrocardiogram
Aortopathy
Vigorous ET increases parietal tension in the aorta, which can result in remodelling. Previous meta-analyses in athletes <35 years of age have shown slightly greater aortic root diameters compared with sedentary controls. However, the aortic diameters in young athletes rarely exceed >40 mm in men and >34 mm in women. In professional athletes, recent studies suggest a higher prevalence of aortic dilation (21% >40 mm) as compared to age- and sex-matched sedentary controls with an equivalent cardiovascular risk factor burden. Nevertheless, it is unknown whether this mild dilation confers a greater risk of an aortic event [22].
Once a dilated aorta is documented, the risk of rupture should be assessed individually. It should be taken into account that hereditary thoracic aortic disease (HTAD) – Marfan syndrome being the most frequent – bicuspid aortic valve (BAV), a positive family history of dissection or SCD, high blood pressure and larger aortic diameters and strenuous strength exercise confer greater risk [1,23].
Thoracic aortic dilatation is generally asymptomatic and may go unnoticed on physical examination and/or on the ECG. It may debut as an acute aortic syndrome, which is a rare, but is a confirmed cause of SCD in athletes [1]. Imaging techniques therefore become essential in this clinical scenario.
TTE is the most routinely used imaging technique for diagnosis and follow-up. It provides a correct measurement of the aortic root and the proximal ascending aorta, assessing the presence of pathological flows in the aortic arch and, on the other hand, the functionality of the aortic valve [17]. Its main disadvantage is not being able to fully assess the aorta [17].
A global baseline assessment of the aorta, a precise measurement of the maximum diameter, location of the aneurysmal segment and characteristics of its wall can be done with magnetic resonance imaging (MRI) or computed tomography (CT). MRI is generally preferred over CT because of the risk of cumulative radiation exposure; this is especially true for young people who need serial follow-up [23,24]. CT angiography should be considered in case of MRI contraindication and/or prior planning of a surgical or percutaneous intervention.
All patients with an HTAD should undergo at least yearly imaging of the ascending aorta with TTE or MRI, depending on the case. In athletes with BAV or tricuspid valve (TAV) and a non-dilated aorta (<40 mm), follow-up every 2-3 years with TTE is recommended [1,24]. In athletes with BAV or TAV with diameters between 40-45 mm, the frequency of TTE may be either every 1 or 2 years depending on rate of growth [23]. An MRI may also be considered as part of the initial study or in case of discordant measurements by TTE. For patients with an aortic diameter ≥45 mm, a baseline MRI is recommended, along with annual TTE or even more frequently in cases of accelerated growth [24].
Valvulopathy
Bicuspid aortic valve (BAV)
BAV is the most prevalent genetic valve disease both in the general population and in athletes (0.5-2.0%). Although still controversial, the available evidence suggests that the progression of BAV occurs independently of sports practice [25,26].
Athletes with BAV may present stenosis or insufficiency and its management is similar to that of tricuspid valve disease [1]. When the valvular dysfunction is mild or absent, BAV may go unnoticed during physical examination. ETT is the first-line technique, allowing for an evaluation of the valve morphology and for the presence of potentially associated coronary anomalies to be ruled out [27].
On the other hand, BAV is associated with a small, but increased risk for ascending aortic aneurysm or dissection, and therefore with SCD. As for BAV-associated valvular dysfunction, the impact of ET in aortic dilation is unclear. A single study comparing elite athletes with BAV, non-athletes with BAV and athletes with TAV showed no impact of athletic status on the aortic growth rate. However, studies with larger populations and longer follow-ups are needed to confirm this statement. ETT is again the first-line imaging technique for this scenario, as it allows the evaluation or aortic diameters and to discard BAV-associated aortic coarctation [2]. Aortic MRI and CT complement aortopathy evaluation- as described in the previous section.
Aortic stenosis
Aortic stenosis is a well-known cause of exercise-related sudden cardiac death, but is responsible for fewer than 4% of events in young athletes [1]. Decreased exercise tolerance, dyspnoea on exertion, or exercise-induced angina in an athlete with a systolic murmur should make us suspect this valvular disease.
The most common aetiology in the elderly population is degenerative, but in young individuals, the presence of an underlying congenital pathology such as BAV must be ruled out [28]. Echocardiography is the first-line technique for its diagnosis. It provides quantification of the stenosis severity, ventricular function and myocardial thickness as well as an evaluation of the underlying mechanism of the stenosis.
In individuals affected by moderate aortic stenosis who are asymptomatic and have a normal haemodynamic response, the evaluation of the aortic mean gradient during exercise by exercise echocardiography has an additional prognostic role; an increase of more than 20 mmHg is independently associated with a higher risk of adverse events during follow-up [29].
On the other hand, in special cases, in which the information from the TTE is inconclusive or additional information is needed for an accurate diagnosis or to decide the best therapeutic strategy, non-invasive multimodal imaging can help us. The use of CCT is especially useful, as it is the complementary technique of choice to assess valve anatomy and calcification and to evaluate the characteristics of the annulus, aortic root, entire aorta and the aortoiliac vascular axis, allowing, as well, for the evaluation of the coronary arteries, especially in patients with a low probability of coronary artery disease [30].
Finally, CMR provides tissue characterisation identifying myocardial fibrosis and has also a promising role in the detection of subclinical cardiomyopathy through the use of myocardial T1 mapping and extracellular volume quantification in those patients who have not yet developed macroscopic fibrosis. All these parameters have prognostic implications and are promising tools for determining the optimal time to treat an asymptomatic patient with preserved ventricular systolic function and severe aortic stenosis [30].
For asymptomatic individuals with a mild aortic stenosis in which the ejection fraction is preserved, the haemodynamic response to exercise is normal, and who have no arrhythmias, these individuals can compete in all sports and participate in intense aerobic and strength training if it is their desire. Individuals with moderate aortic stenosis can perform low-to-moderate intensity exercise while those with severe stenosis should be restricted to low-intensity exercise and skill sports (golf, table tennis, etc.) [1].
Mitral valve prolapse
Mitral valve prolapse (MVP) is a common valvular disease in the general population (1.0-3.0%). It is caused by a myxomatous thickening of the leaflets. Diagnosis is made by TTE in which displacement >2 mm of one or both leaflets beyond the annular plane within the atrium in late systole is found [1]. In addition, TTE can help monitor the progression of mitral insufficiency, its volumetric and structural impact on the LV, and the development of pulmonary hypertension [1]. In cases in which there is doubt in grading the severity and/or in which symptoms are discordant, ESE is especially useful since it allows us to see the changes in regurgitant flow and pulmonary systolic pressure at maximum effort [30].
Generally, athletes with MVP have an excellent long-term prognosis. However, although uncommon, a malignant phenotype associated with life-threatening ventricular arrhythmias (VA) [31,32] has been identified. Recent studies using TTE and CMR have found morphological characteristics associated with this phenotype, regardless of MR severity or LV remodelling. These include bileaflet prolapse, mitral annular disjunction and superior displacement of papillary muscles (PM) [31,32].
It is believed that these alterations generate mechanical tension in the inferolateral myocardial wall and in the PM, which can cause mechanical dispersion (double peak strain in STE by TTE) and replacement myocardial fibrosis (demonstrated by LGE-CMR) which may be a possible mechanism for a life-threatening VA [31,32].
Likewise, in athletes with MVP the initial evaluation should include a comprehensive TTE, maximal exercise test and 24-hour ECG monitoring. If any VA, morphological risk feature and/or T-wave inversion on the ECG is identified, CMR is recommended to complete an SCD risk assessment [1].
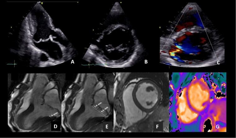
Figure 5. Multimodality imaging of a 46-yo-female air race pilot that in a routine PPCE was found to have an end-systolic heart murmur. A) Parasternal TTE long-axis view showed a myxomatous mitral valve prolapse with bileaflet involvement. B and C) Parasternal TTE short-axis view showed a complex mitral jet that was considered of moderate degree (video available in 5.1..). A CMR was indicated for risk stratification purposes which showed positive mitral annular disjunction, bilateral mitral valve prolapse (E) and no other SCD-associated features: F) No LGE was detected and G) Native T1 values were normal.

Conclusion
A preparticipation cardiovascular evaluation (PPCE) is an efficient tool for identifying athletes with an underlying cardiac disease in which vigorous exercise training can act as a trigger of sudden cardiac death (SCD). The initial PPCE includes a detailed medical history, a complete physical examination and a resting 12-lead electrocardiogram. When this evaluation yields positive results, multimodality imaging then plays a pivotal role in confirming the diagnosis or excluding pathology. In most clinical scenarios, a transthoracic echocardiogram should be considered for first-line imaging followed by either cardiac magnetic resonance or cardiac computed tomography according to the suspected diagnosis. Moreover, imaging plays a major role in risk stratification and monitoring athletes with cardiac diseases.
Our mission: To reduce the burden of cardiovascular disease.