You're in the right place! Welcome to our newly updated ESC website.
Start exploring or use our powerful new search engine to find what you need. 

Our mission
to reduce the burden of cardiovascular disease

Welcome! To enjoy a personalised experience, sign in.

Sign in

What's Hot!

From science to events, it’s all right here

To beta block or not, that is the question!

Effect of beta blockers in acute and chronic coronary syndromes without reduced ejection fraction: a landmark analysis from the REBOOT trial.

Improving the standard of care for cancer patients and survivors

On #WorldCancerDay, we shine the spotlight on the essential role of cardio oncology in the lives of cancer patients and survivors. As cancer survival rates improve, multi-disciplinary and early collaboration is crucial for better outcomes. Explore essential resources on our new dedicated topic page.

European Heart Journal - call for editor-in-chief

We are looking for an internationally recognised expert to lead as the next editor-in-chief of the European Heart Journal, our flagship academic journal and one of the world’s leading publications in cardiovascular medicine.  

Apply to contribute to the ESC Guidelines

The ESC is developing new Clinical Practice Guidelines for 2028 on Myocardial Revascularisation, Adult Congenital Heart Disease and Cardiovascular Disease Prevention. The call for authors is now open – a chance to contribute to guidance that will influence practice globally. Apply by 16 February.

Digital solutions in arrhythmias

Can wearables reliably detect atrial fibrillation, and when should clinicians escalate to treatment? Are AI-powered ECGs ready to predict sudden cardiac death? Fleur Tjong shares the latest evidence, guideline perspectives, and practical insights on digital cardiology in arrhythmia care. 

ESC Congress 2026 - Where transformation becomes collective

By submitting your work to ESC Congress 2026, you could impact the future of cardiovascular care. Share your findings with the world’s largest cardiology community, participate in meaningful discussions, expand your network, and gain international visibility. Submit your science before 1 March (abstracts) and 11 March (clinical cases).

From diagnosis to advocacy: Richard Mindham on why patients matter

At the EACH Summit in Brussels last December, leaders and patients explored how technology, data and mental health shape cardiovascular care. Richard shares how lived experience drives better policy and person-centred care. Read his story and why patient voices count.  

KLHL24 mutation drives intermediate filament degradation, mitochondrial dysfunction and fibrosis in HF patients

In patients with epidermolysis bullosa caused by variants in KLHL24 (KLHL24mut), dilated cardiomyopathy is often the major clinical- and life-threatening problem. In this study, Ramovs et al. employed human induced pluripotent stem cell (hiPSC) derived cardiac myocytes and fibroblasts to show that...

Mythbusters: Is gratitude good for the Heart?

Gratitude is often linked to better health and wellbeing, but does it really improve cardiovascular health? ESC TV Today investigates.

ESC elections – first slate revealed

It's an election year for the ESC and we are pleased to announce the first slate for elected positions. The final slate will be announced on 23 February 2026. Read about our elections and governance on the new ESC website. 

Smoke from wildfires linked to 17,000 strokes in the US alone

People exposed to wildfire smoke have a higher risk of suffering a stroke, according to research published in the European Heart Journal. The researchers estimate that in the US alone, smoke from wildfires may be responsible for around 17,000 strokes each year.  
 

Congresses

Our congresses bring us together

To share knowledge, present the latest science, and shape the future of cardiovascular care. 

Munich - Germany

19 Feb 2026 - 20 Feb 2026

EAPCI Summit 2026

Join this pioneering edition and be part of a new era in interventional cardiology.

Lisbon - Portugal

20 Mar 2026 - 21 Mar 2026

ESC Acute Cardiovascular Care 2026

This year's main theme is 'The Heart Team in Acute Cardiovascular Care'. Join us in Lisbon

Paris - France

12 Apr 2026 - 14 Apr 2026

EHRA 2026

​Guided by the theme, 'Illuminating arrhythmia management', we will spotlight innovations shaping the future.

Leuven - Belgium

17 Apr 2026 - 19 Apr 2026

Frontiers in CardioVascular Biomedicine 2026

Where basic and translational cardiovascular biomedicine professionals unite to share advances.

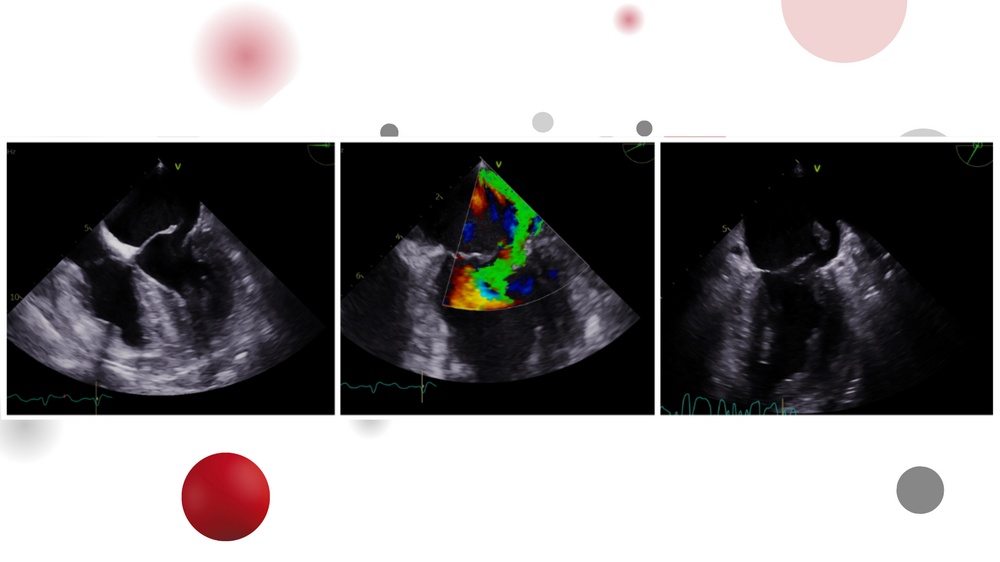
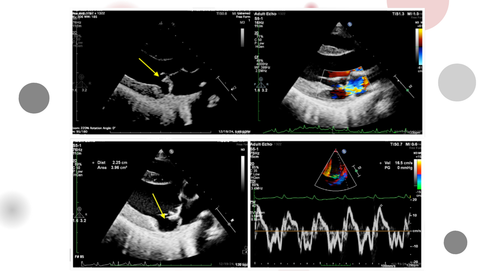
Image of the week

Test your knowledge each week with our quick quiz and sharpen your diagnostic skills!

This week's image was submitted by Raid Faraj, Sebastien Hess, and Xavier Lamit from Rhéna Clinic, Strasbourg, France.

Loading...

ESC TV Today

Expert insights

  • Lp(a) and aortic valve stenosis with Borge Nordestgaard
  • The truth about climate change and heart disease with Hugh Montgomery
  • Snapshots
  • Cardiology this Week: A concise summary of recent studies

 

ESC TV Today - Season 4

About the ESC

Driven by science, united for patients

We are a volunteer-led, not-for-profit medical society. Our members and decision-makers are scientists, clinicians, nurses and allied professionals working in all fields of cardiology.

We unite national cardiac societies from around the world. This unique network allows us to understand the impact of cardiovascular disease and how we can better reduce its burden. Our diversity is our strength.

About the ESC

Join our community

Whether you’re a student, early-career professional, or experienced cardiologist, there’s a place for you here.

From access to congress resources and webinars, to mentoring, and specialised training, you’ll be supported with tools to expand your knowledge. 
Choose the membership that's right for you.

Membership

Your Journal Selection

Explore this week's articles from the ESC Journal Family

Sex and gender differences in coronary pathophysiology and ischaemic heart disease: A Scientific Statement of the ESC Working Group on Coronary Pathophysiology & Microcirculation, the Association for Acute CardioVascular Care, and the European Association of Percutaneous Cardiovascular Interventions of the ESC

European Heart Journal
23 Jan 2026

Measuring what matters, measuring well: a call to strengthen health-related quality of life patient-reported outcome measures in cardiovascular care

European Journal Of Cardiovascular Nursing
23 Jan 2026

Pulsed field vs radiofrequency ablation for paroxysmal atrial fibrillation: the BEAT PAROX-AF trial

European Heart Journal
22 Jan 2026

Reappraising cardiac function with myocardial contraction fraction: normal values, disease detection and prognostication

EHJ - Cardiovascular Imaging
22 Jan 2026

Impact of amino acid supplementation on cardiovascular and chronic kidney diseases: a systematic review

Cardiovascular Research
21 Jan 2026

Safety and efficacy of intracardiac echocardiography in atrial fibrillation ablation: A meta-analysis

EP Europace
21 Jan 2026

Transcatheter edge-to-edge repair in severe mitral regurgitation following acute myocardial infarction – aetiology-based analysis

European Journal Of Heart Failure
14 Jan 2026

The Additive Prognostic Value of Lipoprotein(a) for All-cause and Cardiovascular Mortality Across the Traditional Cardiovascular Risk Continuum: Analysis from NHANES III (1988–1994) with Follow-Up to 2019

European Journal Of Preventive Cardiology
14 Jan 2026

Explore our key offerings

ESC Clinical Practice Guidelines help you weigh up the benefits and risks in your decision making

2025 ESC Guidelines for the management of myocarditis and pericarditis

These guidelines introduce a comprehensive, patient-oriented framework for the diagnosis and management of IMPS, spanning the full disease spectrum.

2025 ESC Guidelines for the management of cardiovascular disease and pregnancy

The current Guidelines for the management of cardiovascular disease and pregnancy support health care professionals to manage and care for women with cardiovascular diseases before, during and after pregnancy.

2025 ESC/EACTS Guidelines for the management of valvular heart disease

The 2025 ESC/EACTS Guidelines for the management of valvular heart disease (VHD) are an update of the 2021 version of this document.

2025 Focused Update of the 2019 ESC/EAS Guidelines for the management of dyslipidaemias

This 2025 Focused Update addresses changes in recommendations for the treatment of dyslipidaemias based on new evidence published since the 2019 version, up until 31 March 2025.

2025 ESC Clinical Consensus Statement on mental health and cardiovascular disease

This clinical consensus statement on mental health and cardiovascular disease highlights the multidirectional relationship between mental health, cardiovascular health and cardiovascular disease and its impact on cardiovascular risk and prognosis.

ESC Education

Your go-to destination for flexible courses

We know you're busy, so we've made it simple to develop your knowledge across three levels: Core Cardiology, Subspecialty and Expert. 

Core Cardiology

Understanding and application of ESC Guidelines and preparation for the European Exam in Core Cardiology.

Specialty

Training, certification and clinical practice in cardiology subspecialties.

Experts

Continuous professional development for general cardiologists and established specialists.