A 83 year-old male was referred to our center in 2023 with a recent diagnosis of Anderson–Fabry disease.
He was an ex-smoker, with mild hypercholesterolemia on statins and mild hypertension effectively managed with valsartan. He also had a previous history of moderate chronic kidney disease of unknown origin with an estimated glomerular filtration rate of 34 mL/min/kg at the time of referral. No previous family history of cardiomyopathies or kidney disease was identified.
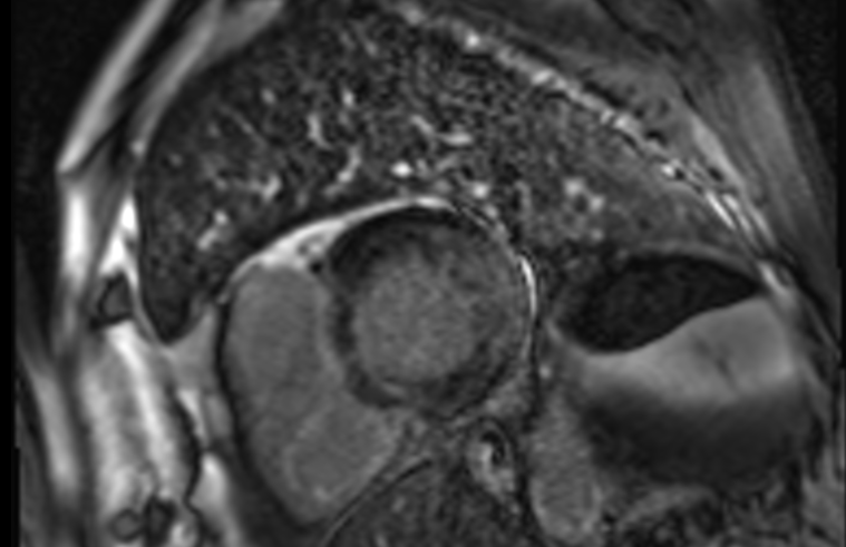
He had a first episode of heart failure in May 2023 diagnosed due to shortness of breath during exercise and increased NTProBNP levels (1984 pg/mL) requiring hospital admission at his local hospital with a good clinical course after initiation of diuretics. His ECG showed sinus rhythm at 53 bpm, PR interval 175 ms and narrow QRS with low voltages in III, aVL and aVF leads. An echocardiogram showed a LVEF 64% with concentric hypertrophy (16 mm), no RV involvement or concomitant valvular heart disease were described.

An ambulatory cardiac magnetic resonance was performed at discharge reporting moderate LV hypertrophy (15mm) with multifocal late gadolinium enhancement mostly midwall and predominantly located in the lateral basal segment. No T1 mapping or extracellular volume analysis was performed. The report suggested that this pattern might be suggestive of Fabry disease and consequently the patient requested a second opinion in another local hospital were serum alpha-galactosidase activity was reduced 0.40 nmol/h/ml (Reference range: 2.40-10.20).

At this point, the patient was referred to our center with a diagnosis of Fabry disease to evaluate the initiation of disease-modifying therapies. So, what were the next steps?
Anderson-Fabry Disease
Anderson–Fabry disease is an inborn error of metabolism where a deficient or absent enzyme, alpha-galactosidase A (α-Gal A), due to a pathogenic genetic variant in the GLA gene, causes lysosomal accumulation of globotriaosylceramide (Gb3) . It is inherited in an X-linked manner; males are therefore always affected, while females’ organ involvement usually develops later in life.1
Two Anderson–Fabry phenotypes can be distinguished, depending on the gender and pathogenic genetic variants:
- A severe clinical phenotype, known as ‘classic’ Anderson–Fabry characterized by absent or severely reduced (<1% of mean normal) α-Gal A activity, marked Gb3 accumulation, and childhood or adolescent onset of symptoms followed by progressive multiorgan failure, is most often seen in males (but not exclusively) without residual enzyme activity. Extracardiac features include renal involvement, neuropathic pain, angiokeratomas, hypohidrosis and cornea verticillata.
- A ‘non-classical’ Anderson–Fabry phenotype or later-onset phenotype with incomplete systemic involvement, which is seen in both males and females, with some level of residual enzyme activity, and in most cases manifesting as isolated cardiac involvement.
Cardiac involvement is defined by left ventricular hypertrophy, short PR interval with increased voltages in the ECG. Basal inferolateral fibrosis and low native T1 mapping at cardiac magnetic resonance can be identified in early stages of the disease with progressive pseudonormalization of T1 in areas with fibrosis.
Going back to our patient, several clues warned us against establishing a definitive diagnosis of Fabry disease. First of all, to the best of our knowledge no cases of Fabry disease have been published to date with an onset in a male beyond the age of 80 years old. In addition, the absence of family history of kidney disease or cardiomyopathies was at least intriguing. Finally, ECG features of normal PR interval and low-to-normal QRS voltages were not very suggestive of Fabry disease.
Accordingly, serum alpha-galactosidase activity, LysoGb3 serum levels and genetic GLA sequencing was performed in our center showing normal alpha-galactosidase activity 2.60 nmol/h/ml (Reference range: 2.40-10.20) and normal Lyso-Gb3 0.4 nmol/L (Reference <= 0.9 nmol/L) values, added with the absence of genetic variants in GLA rejecting the previous diagnosis of Anderson–Fabry disease.
A reappraisal of the case from a different angle made us wonder what other causes of left ventricular hypertrophy in an 83yo male with heart failure might be relevant to assess?
Cardiac Amyloidosis
Cardiac amyloidosis is a group of diseases characterized by the extracellular deposition of misfolded proteins in the ventricular myocardium with the pathognomonic histological property of green birefringence when viewed under cross-polarized light after staining with Congo Red. 2
In particular, transthyretin wildtype amyloidosis (ATTRwt) has gained attention in recent years due to higher than expected prevalence in differential clinical scenarios mostly in elderly patients (≥ 65 years old) with previous heart failure or aortic stenosis history. Consequently, screening of cardiac amyloidosis is recommended in patients with a LVH ≥ 12mm and one or more red flags.

Consequently, a 99mTc-DPD scintigraphy was performed showing an intense cardiac uptake of the tracer that was confirmed by SPECT reported as grade 3 in the Perugini scale. Clonal dyscrasia was excluded by triple negative: serum free light chain, serum and urine immunofixation. TTR gene sequencing returned no pathogenic or likely pathogenic variant so the patient was finally diagnosed of ATTRwt. He is currently waiting to initiate treatment with oral tafamidis and subsequent participation in a clinical trial at our center.

In the field of cardiomyopathies, it is crucial to critically assess results and ensure they align with our clinical suspicions. When not all the pieces of the puzzle come together, it may be prudent to repeat tests before proceeding further. This is especially relevant for dry blood enzyme activity tests in Fabry disease, where a notable incidence of false positives has been documented
To summarize, we believe that this case illustrates the importance of a precise etiologic diagnosis of cardiomyopathies that enabled us to initiate the appropriate treatment and the relevance. This approach is based in a fluent dialogue between primary centers who frequently assess most patients in real life and tertiary centers with further expertise.
Our mission: To reduce the burden of cardiovascular disease.